
Tu sonrisa actúa como una ventana que revela tanto tu salud oral como tu bienestar en general. Si alguna vez has pasado por alto la relevancia de someterte a una limpieza dental profesional, estás a punto de descubrir cómo este procedimiento aparentemente simple puede dejar una marca profunda en tu vida. Posponer una visita al dentista puede acarrear consecuencias mucho más significativas de las que podríamos anticipar. A medida que el tiempo avanza, ciertos problemas pueden emerger como resultado de ignorar el cuidado dental adecuado. Por lo tanto, es importante comprender las implicaciones de retrasar las limpiezas dentales:
- La prevención de problemas dentales es una de las razones primordiales por las que las limpiezas dentales regulares son esenciales. En nuestra boca, se desarrolla constantemente una película pegajosa y transparente llamada placa bacteriana en la superficie de los dientes. Si no se retira adecuadamente mediante el cepillado y el uso de hilo dental, esta placa puede endurecerse con el tiempo, convirtiéndose en lo que se conoce como sarro.
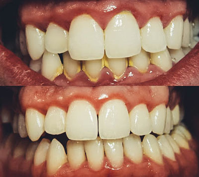
- La acumulación de placa y sarro puede irritar las encías y provocar inflamación. Esto puede evolucionar hacia una enfermedad de las encías llamada gingivitis, que causa enrojecimiento, hinchazón y sangrado de las encías. Si la gingivitis no se trata, puede progresar a una forma más grave de enfermedad periodontal.
- La acumulación de placa y sarro en los dientes no solo afecta a los dientes en sí, sino también a las encías que los rodean. Esta acumulación puede desencadenar irritación en las encías, lo que a su vez provoca inflamación. Esta fase inicial de inflamación se conoce como gingivitis. La gingivitis es caracterizada por síntomas visibles como enrojecimiento, hinchazón y sangrado de las encías, especialmente durante el cepillado o el uso de hilo dental.

- El mal aliento es un problema incómodo que puede tener un impacto en la confianza y las interacciones sociales. La acumulación de bacterias en la boca es una de las principales causas de este problema. Estas bacterias tienden a proliferar en áreas de la boca donde la higiene oral no es suficiente para eliminarlas, como en la superficie de la lengua y entre los dientes.
- Además de los beneficios funcionales, las limpiezas dentales también pueden brindar mejoras estéticas notables. A lo largo del tiempo, diversos factores, como el consumo de café, té, tabaco y ciertos alimentos, pueden contribuir a la acumulación de manchas y decoloraciones en la superficie de los dientes. La mejora estética que resulta de una limpieza dental no solo se traduce en dientes más blancos, sino que también contribuye a una sonrisa más saludable y atractiva en general.
- Entre la salud de tu boca y tu bienestar general existe una conexión innegable, es por eso que la prevención de complicaciones sistémicas representa uno de los motivos más sólidos para someterse a limpiezas dentales regulares. Las enfermedades de las encías han demostrado estar relacionadas con una serie de problemas de salud más amplios, como enfermedades cardíacas y la diabetes.
No subestimes el impacto de posponer una limpieza dental. Desde la prevención de problemas dentales hasta la preservación de tu salud general, estas citas regulares son esenciales para mantener una sonrisa saludable y radiante. Programa tu limpieza dental en la Clínica Cherizola Clavell y descubre todos los beneficios que te ofrece.