La acumulación de sarro debajo de las encías es un fenómeno común en la salud bucal que puede llevar a problemas dentales más graves si no se aborda adecuadamente. Comprender por qué se produce el sarro en esta área y aprender estrategias para prevenirlo es esencial para mantener una sonrisa saludable. Analizaremos las causas detrás de la formación de sarro debajo de las encías y proporcionaremos consejos prácticos para evitar su aparición y promover la salud bucal a largo plazo.
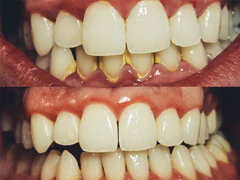
La formación de una sustancia dura y rugosa conocida como sarro, se forma debajo de las encías debido a la acumulación gradual de la placa bacteriana, una película compuesta por bacterias, residuos de alimentos y saliva que se adhiere a los dientes y encías.
El sarro puede acumularse en áreas inaccesibles para el cepillo y el hilo dental. Esta acumulación debajo de las encías puede resultar problemática, ya que las bacterias presentes en el sarro pueden causar irritación en los tejidos gingivales, lo que lleva a la inflamación y el enrojecimiento de las encías, y eventualmente puede contribuir al desarrollo de enfermedades periodontales como la gingivitis y la periodontitis.

¿Cómo puedo evitarlo?
Para prevenir la formación de sarro debajo de las encías, es esencial mantener una higiene oral rigurosa. Cepilla tus dientes al menos dos veces al día utilizando un cepillo de cerdas suaves y pasta dental con flúor, prestando atención a la línea de las encías y espacios entre los dientes. Emplea hilo dental diariamente para eliminar partículas de alimentos y placa en áreas de difícil acceso, y considera el uso de enjuague bucal. Además, adoptar una dieta equilibrada, baja en azúcares, y evitar el tabaco también es crucial.
Asiste a revisiones dentales regulares para limpiezas profesionales y recomendaciones personalizadas, asegurando un cuidado integral que minimice la acumulación de placa y el desarrollo de sarro, manteniendo así tus encías y dientes en óptimas condiciones.
No dudes en contactarnos y agendar tu cita para dar el primer paso hacia una sonrisa saludable y radiante. Tu bienestar dental es nuestra prioridad.