Imagina una sonrisa perfecta, libre de manchas, imperfecciones y con una apariencia radiante. Las carillas dentales son la clave para lograr este deseo. En este artículo, exploraremos las razones por las cuales las carillas dentales pueden ser la solución que estás buscando y conseguir una sonrisa soñada.
- Si has lidiado con dientes manchados, descoloridos debido al café, té, tabaco u otras sustancias, las carillas dentales pueden ser la solución para transformar tu sonrisa. Al aplicarlas, podrás despedirte de esas manchas difíciles de eliminar y darle la bienvenida a una sonrisa radiante
- Si tienes dientes que están astillados o con pequeñas fracturas, las carillas pueden ayudar a restaurar su forma y función. Además, no solo repararán esos pequeños daños, también mejorarán la estética de tu sonrisa, brindándote una apariencia impecable.
- El paso del tiempo y el desgaste dental excesivo pueden ser desafiantes para nuestra sonrisa. Si te has preocupado por ver tus dientes más desgastados, las carillas dentales están aquí para ayudarte, ya que pueden agregar longitud y mejorar su apariencia.
- Las carillas dentales te brindan una apariencia más recta y simétrica, sin la necesidad de someterte a tratamientos prolongados. ¡Se acabaron las inseguridades por unos dientes desalineados!
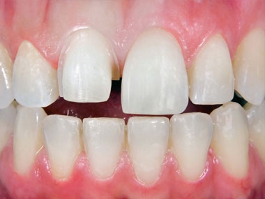
- Y además de esto, las carillas dentales también tienen el poder de cerrar esos pequeños espacios que pueden afectar la armonía de tu sonrisa.


Si te identificas con alguno de los problemas mencionados, no esperes más para visitarnos en Clínica Cherizola Clavell. Una sonrisa deslumbrante puede cambiar vidas. Ven con nosotros y descubre cómo podemos hacer que tu sonrisa brille como nunca.